L’artrosi dell’anca, detta anche coxartrosi, è una patologia degenerativa che può compromettere seriamente la qualità di vita, rendendo dolorose attività quotidiane come camminare, salire le scale, vestirsi o praticare sport. Grazie alle moderne tecniche di chirurgia mini-invasiva dell’anca, oggi è possibile trattare l’artrosi in modo efficace, con meno dolore, recupero più rapido e risultati duraturi.
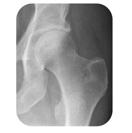
L’anca è una delle articolazioni più importanti del nostro corpo: sostiene il peso e consente ogni movimento. L’artrosi dell’anca consiste nella progressiva usura della cartilagine che riveste l’articolazione tra il femore e l’acetabolo del bacino.
Quando questa cartilagine si consuma:
l’attrito tra le superfici ossee aumenta
il movimento diventa doloroso
l’articolazione perde funzionalità
Cos’è l’artrosi dell’anca (coxartrosi)
Sintomi più comuni
I primi segnali della coxartrosi includono:
dolore all’inguine o al fianco
rigidità mattutina
dolore all’inizio del cammino o dopo sforzo
difficoltà a camminare a lungo
Con il tempo, il dolore può diventare continuo e limitare fortemente l’autonomia.
Attualmente non esistono terapie in grado di rigenerare la cartilagine articolare. I trattamenti conservativi (farmaci antinfiammatori, infiltrazioni, fisioterapia) possono offrire un beneficio temporaneo, ma non arrestano la progressione della malattia.
Quando il dolore diventa persistente e limita la vita quotidiana, la protesi d’anca rappresenta l’unica soluzione efficace per eliminare il dolore e recuperare la mobilità.
È sempre necessario operare l’artrosi dell’anca?
Quando è il momento giusto per l’intervento?
L’intervento di protesi d’anca mini-invasiva viene indicato quando:
il dolore è intenso e continuo
la mobilità è ridotta
i farmaci non sono più efficaci
Non si tratta di un’urgenza: dalla diagnosi alla decisione chirurgica possono passare anche anni. La scelta avviene sempre dopo un’attenta valutazione clinica e radiografica.
Come si svolge l’intervento
Durata: circa 60 minuti
Anestesia: spinale
Ricovero: breve
Tecnica mini-invasiva con accesso anteriore
L’intervento viene eseguito tramite accesso anteriore mini-invasivo, una tecnica che:
rispetta muscoli e tendini
riduce il sanguinamento
favorisce un recupero più rapido
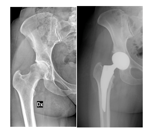
Protesi d’anca non cementata
La protesi viene fissata con tecnica press-fit, permettendo all’osso di integrarsi naturalmente con l’impianto, garantendo stabilità e durata nel tempo.
Intervento di protesi d’anca mini-invasiva
Rischi e sicurezza dell’intervento
L’intervento di protesi d’anca è oggi una procedura sicura e ben tollerata nella grande maggioranza dei casi. Le complicanze sono rare e possono includere:
infezione
instabilità della protesi
Se riconosciute e trattate tempestivamente, non compromettono il risultato finale.
La protesi d’anca mini-invasiva consente:
eliminazione del dolore
recupero della mobilità in 4–6 settimane
ritorno alle attività quotidiane
Molti pazienti riprendono attività come:
camminate prolungate
trekking
bicicletta
nuoto
ballo
Risultati attesi dopo la protesi d’anca
Durata della protesi
La durata media di una protesi d’anca moderna è di 15–25 anni. Gli sport ad alto impatto non sono vietati, ma possono ridurre la longevità dell’impianto.
✔ Recupero funzionale più rapido ✔ Minore dolore post-operatorio ✔ Cicatrice più contenuta ✔ Minore rischio di differenze di lunghezza degli arti ✔ Migliore ripresa della vita attiva
Perché scegliere la protesi d’anca mini-invasiva
Come funziona la pianificazione della protesi?
Il successo clinico e la durata dell’impianto dipendono in modo determinante da una rigorosa pianificazione pre-operatoria. Attraverso lo studio analitico dell’anatomia del paziente, l’ortopedico è in grado di definire una strategia chirurgica personalizzata, garantendo i massimi standard di precisione. Scopri di più QUI.
Vuoi saperne di più sull'artrosi dell'anca?
L’evoluzione classica di un’artrosi dell’anca (coxartrosi) è la scomparsa progressiva della cartilagine fra l’osso della coscia (femore) e quello del bacino. Clicca QUI per saperne di più
Ne ho parlato anche nel sito di Affidea di Monselice, dove visito i miei pazienti con artrosi dell’anca. Per saperne di più o prenotare una visita clicca QUI.
Prenota una visita specialistica
Una valutazione specialistica permette di capire se e quando l’intervento è indicato, scegliendo il percorso terapeutico più adatto al singolo paziente.
Contattami QUI per una visita ortopedica specialistica sull’artrosi dell’anca.
Custom menu section
This is off canvas menu widget area. To enable it add some widgets into Appearance – Widgets – Menu Section, and go to Customizer – Main menu to set the icon position.
Popular posts
Questo sito Web utilizza i cookies per migliorare la tua esperienza. Puoi modificare le impostazioni se lo desideri Impostazione CookiesAccetto
Cookies Policy
Privacy Overview
Utilizziamo i cookie per personalizzare contenuti ed annunci, per fornire funzionalità dei social media e per analizzare il nostro traffico. Condividiamo inoltre informazioni sul modo in cui utilizza il nostro sito con i nostri partner che si occupano di analisi dei dati web, pubblicità e social media, i quali potrebbero combinarle con altre informazioni che ha fornito loro o che hanno raccolto dal suo utilizzo dei loro servizi. Acconsenta ai nostri cookie se continua ad utilizzare il nostro sito web.
I cookie necessari sono assolutamente essenziali per il corretto funzionamento del sito Web. Questa categoria include solo i cookie che garantiscono funzionalità di base e caratteristiche di sicurezza del sito Web. Questi cookie non memorizzano alcuna informazione personale.